Sofort-Lösung
FEste zähne an einem tag
(All-on-4 or All-on-6)
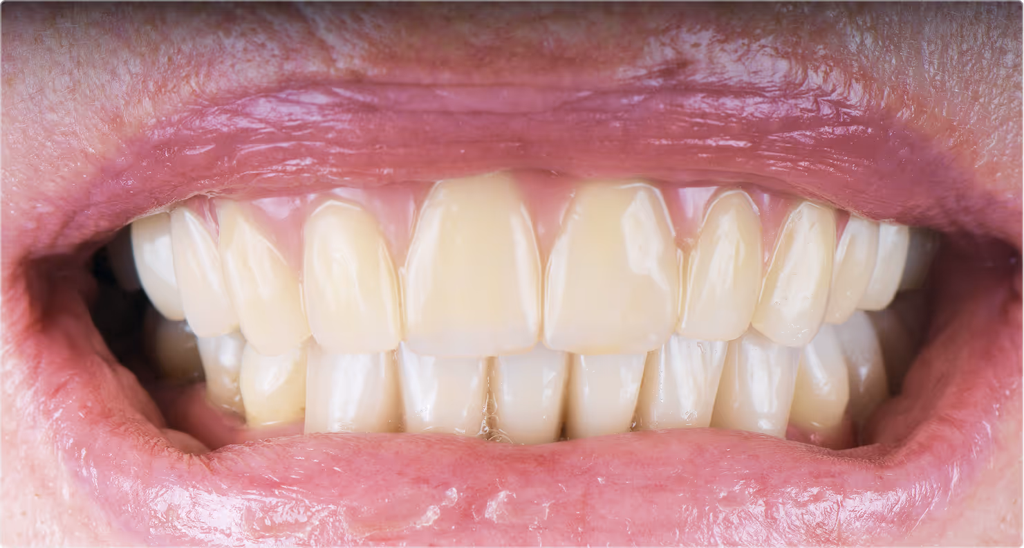
Mit der All-on-4- bzw. All-on-6-Methode können wir Patient:innen, die viele oder alle Zähne verloren haben, in kurzer Zeit mit einem fest verschraubten Zahnersatz versorgen. So entsteht eine stabile, festsitzende Lösung ohne herausnehmbare Prothese – für mehr Lebensqualität, sichere Kaukraft und ein natürlich wirkendes Lächeln.

Die Vorteile
Sofort lächeln
Noch am selben Tag erhältst du festsitzende Zähne, die dir Komfort, Sicherheit und neuer Lebensfreude schenken.
Sicheres Lebensgefühl
Das sofortige Kauen und Sprechen fühlt sich natürlich an und gibt dir dein gewohntes Selbstvertrauen zurück.
Schonende Methode
Das Konzept ist auf maximale Knochenschonung ausgelegt – häufig ist kein zusätzlicher Knochenaufbau nötig.
Schnelle Regeneration
Durch die unmittelbare Versorgung stabilisiert sich das Zahnfleisch rasch und mögliche Entzündungen können sich weniger leicht ausbreiten.
Perfekt geplant
Der provisorische Zahnersatz ist ästhetisch und funktional – er wird später durch den finalen Zahnersatz präzise ergänzt.
Ablauf
Planung
Beim Vorgespräch nehmen wir uns Zeit für deine Wünsche und definieren gemeinsam die nächsten Schritte. Anhand einer präzisen 3D-Analyse deines Kiefers – ergänzt durch Foto- und Funktionsdaten – planen wir die Behandlung digital. Dabei werden Zahnposition, Implantatplatzierung, Funktion und spätere Ästhetik von Anfang an aufeinander abgestimmt.
Behandlung
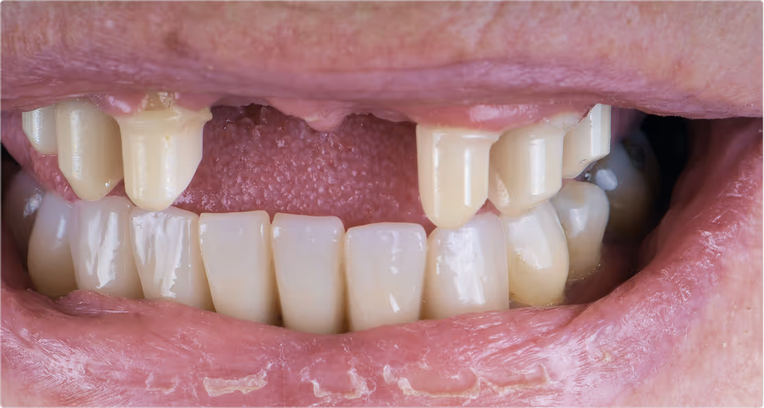
Am Behandlungstag entfernen wir zuerst die Zähne, die nicht mehr erhalten werden können. Die Implantate werden mithilfe einer digital gefertigten chirurgischen Führung schonend und präzise eingesetzt. Diese Vorgehensweise reduziert Belastung, beschleunigt die Heilung und ermöglicht eine sichere Positionierung exakt nach Plan.
Einsetzen
Wenn die anatomische Situation es zulässt, wird noch am selben Tag ein ästhetisch-funktioneller provisorischer Zahnersatz fest auf den Implantaten befestigt (Sofortversorgung/Immediate Loading). So verlässt du die Praxis bereits mit festen Zähnen – ohne herausnehmbare Lösung.
Einheilung
In den folgenden Monaten verwachsen die Implantate fest mit dem Knochen.
Nach Abschluss der Heilungsphase fertigen wir den endgültigen Zahnersatz, individuell nach deinem ursprünglichen digitalen Plan. Er berücksichtigt nicht nur Ästhetik, sondern auch Funktion, Zahnfleischprofil und langfristige Stabilität – für ein Ergebnis, das wie selbstverständlich zu dir gehört.
Häufige Fragen
Ja – sofern alle Voraussetzungen erfüllt sind. Nach einer sorgfältigen digitalen Planung werden die Implantate gesetzt und noch am selben Tag mit einer festsitzenden provisorischen Brücke versorgt. Du verlässt die Praxis also mit einem vollständigen, festen Gebiss.
Die Bezeichnungen stehen für die Anzahl der Implantate, die als Basis für den Zahnersatz dienen. Welche Variante geeignet ist, hängt von deiner Knochensituation und individuellen Bedürfnissen ab – wir entscheiden das gemeinsam nach einer gründlichen Analyse.
Die Implantate brauchen rund 3 bis 6 Monate, um fest mit dem Knochen zu verwachsen. Bis zur definitiven Integration der Implantate im Knochen wird eine provisorische Brücke eingesetzt. Während dieser Zeit kannst du normal essen, sprechen und lachen.
Die Kosten hängen von der individuellen Ausgangssituation, dem notwendigen Aufwand und dem verwendeten Material ab. Vor der Behandlung erhältst du einen detaillierten Kostenvoranschlag.
Über unseren Zahlungsanbieter ist zudem eine Ratenzahlung möglich – damit dein neues Lächeln planbar und entspannt bleibt.
CLUB TRANSFORMATIONEN
Überblick
Feste Zähne an einem Tag bieten Menschen, die über längere Zeit mit fehlenden oder stark geschwächten Zähnen leben mussten, die Möglichkeit, wieder zu einer stabilen und natürlich wirkenden Zahnreihe zurückzufinden. Die All-on-4- bzw. All-on-6-Methode arbeitet dabei mit vier bzw. sechs präzise positionierten Implantaten, die eine komplette Zahnreihe tragen können.
Bevor wir eine Behandlung empfehlen, prüfen wir in einer umfassenden Voruntersuchung, ob alle anatomischen und gesundheitlichen Voraussetzungen erfüllt sind. Eine detaillierte 3D-Analyse des Kiefers zeigt uns, wo Implantate langfristig sinnvoll verankert werden können und ob zusätzliche Massnahmen notwendig wären. Erst wenn alle Faktoren stimmen, erstellen wir einen individuellen Behandlungsplan, der sich exakt an deiner Ausgangssituation orientiert.
Auf dieser Grundlage lässt sich der Eingriff besonders präzise vorbereiten. Nach dem Setzen der Implantate erhältst du einen provisorischen Zahnersatz, der dich zuverlässig durch die Einheilphase begleitet und ein harmonisches Gesamtbild ermöglicht. Sobald die Implantate fest im Knochen verwachsen sind, fertigen wir den endgültigen Zahnersatz an, der Form, Funktion und Ästhetik langfristig miteinander verbindet.
clubmitglieder
Anton ist der beste Zahnarzt ever! Unterdessen geht meine gesamte Familie zu ihm. Heute durfte ich eine längst überfällige Behandlung machen und er hat genau auf meine Wünsche gehört und sie genauso umgesetzt. Sehr achtsam. Endlich sehe ich wieder aus wie ich selbst <3

Ich kann dieses Zahnarzt Praxis nur empfehlen. Ich war ein Angstpatient, mit Betonung auf war. Seit ich hier bin habe ich keine Angst mehr. Ein super Team wo man aufgehoben ist und Ernst genommen wird.
Eine sehr moderne, hippe, lockere und dennoch professionelle Zahnarztpraxis mit überaus freundlichem Personal. Ich war zum ersten Mal dort und es war ein Traum! Ich habe mich noch nie so auf den Besuch bei der Dentalhygienikerin gefreut!

5 Sterne für meine neue Zahnarztpraxis. Die Angst verflog spätestens im orientalischen Wartezimmer :) Endlich traut sich mal jemand was! Sehr chic gemacht, Top Beratung und der Chef “Anton” hat mich sehr gut beraten mit seinem tiefen Fachwissen. Sehr spannend und gerne wieder!
Seit 2020 bin ich regelmäßig zur DH hier und äußerst zufrieden. Die Zahnreinigung ist angenehm, das Team äußerst freundlich. Zusätzlich schätze ich die kompetente Beratung und die hilfreichen Tipps. Ich kann die Praxis uneingeschränkt empfehlen.
Ich bin sehr zufrieden mit dem gesamten Team! Alle sind super freundlich und zuvorkommend, man fühlt sich sofort gut aufgehoben. Besonders die Aligner Behandlung kann ich weiterempfehlen- die Beratung was ausführlich und professionell, und nun habe ich ein tolles Ergebnis.

Seit 2020 bin ich regelmäßig zur DH hier und äußerst zufrieden. Die Zahnreinigung ist angenehm, das Team äußerst freundlich. Zusätzlich schätze ich die kompetente Beratung und die hilfreichen Tipps. Ich kann die Praxis uneingeschränkt empfehlen.
Für mich der beste Zahnarzt im Kanton Zug. Hier macht es richtig Spass,- und man freut sich sogar schon auf den nächsten Termin! Das Wartezimmer,- kann man auch Lounge oder Wohlfühloase nennen!
Danke an das überaus kinderfreundliche & professionelle Team in Steinhausen!
Super Zahnarzt! Kann ich sehr empfehlen, aufgestelltes Team, freundliche Atmosphäre, professionelle Beratung und Behandlung mit top modernem Equipment (Digitaler Workflow vom 3D Scan bis zur Keramik Krone). Endlich ein Zahnarzt wo man sich auf den nächsten Termin freut.
Kompetent, freundlich und sehr professionell. Nimmt sich Zeit für jede Frage und schafft Vertrauen. Absolut empfehlenswert.
Ich bin seit über 10 Jahren Jahren zufriedener Kunde vom Dental Club und kann die Praxis mit Moni & Anton nur wärmstens empfehlen.
Vielen Dank für den tollen Service. Das Team ist sehr nett und effizient. Ich habe sehr schnell einen Termin bekommen und der Zahnarzt war sehr nett und professionell. Tolle Erfahrung und jetzt weiß ich, wohin ich gehen muss!

Ich war mit dem Service und dem Können vom ganzem Team sehr zufrieden und fühlte mich gut und professionell aufgehoben, obwohl ich nicht ein grosser Zahnartztfanatiker bin, habe ich vor, weiterhin ein fleissiger Kunde zu bleiben und freue mich auf weiterhin super Resultate und einer Makellosen Beratung und Betreuung! Weiter so!
Die Zahnarztpraxis und das ganze Team sind unglaublich freundlich & zuvorkommend. Ich hatte jahrelang Angst vor Zahnarztbesuchen aber bei Anton Boyadzhiev & seinem Team fühlt man sich sehr wohl. Wir sind mit der gesamten Familie und unseren Kindern bei ihm. Ich möchte zu niemand anderem!
Ein sehr kundenorientiertes, professionelles und freundliches Team. Niemand geht normalerweise gerne zum Zahnarzt, aber die fast familiäre Umgebung und die Art & Weise der Kommunikation während dem ganzen Verlauf einer Behandlung, machen einen solchen Besuch um ein Vielfaches einfacher - Danke!
Dr. Anton Boyadzhiev und sein Team liefern hervorragende Arbeit auf Ihrem Gebiet. Ich habe mich sowohl in der Praxis als auch während allen Behandlungen sehr wohl gefühlt. Das ganze Team ist sehr sympathisch. Ich habe meine Zahnfehlstellungen mit der Invisalign-Zahnspange korrigieren lassen und das Endergebnis spricht für sich.

Ich bin seit mehreren Jahren Kundin beim Dental Club. Die Betreuung ist kompetent und sehr freundlich. Das Team ist sehr kompetent und ich freue mich auf die weitere Betreuung. Zweimal jährlich gehe ich zur Hygienekontrolle und bin mit der Betreuung sehr zufrieden. Ein frohes neues Jahr und bis bald! Vielen Dank für Ihre Arbeit.

